Хондросаркома — це рідкісне, але серйозне злоякісне новоутворення, яке походить з хрящової тканини. Вона є другим за поширеністю типом раку кісток і становить від 7% до 16% усіх злоякісних пухлин кісткової системи. Своєчасна та точна діагностика цієї пухлини є критично важливою для успішного лікування та покращення прогнозу для пацієнтів. Діагностичний процес вимагає багатогранного підходу, що поєднує методи візуалізації, ядерну медицину та, найголовніше, біопсію.
Методи візуалізації: від перших знімків до детального сканування

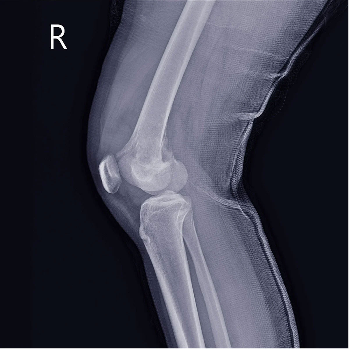
- Рентгенографія є первинним і найдоступнішим методом діагностики хондросаркоми. На рентгенівських знімках центральні хондросаркоми зазвичай виглядають як вогнища деструкції неправильної форми з нечіткими контурами, які часто розташовані в метадіафізі кістки. Характерною ознакою є крапчастий вигляд пухлини через дрібні вогнища обвапнення. Також помітне здуття кістки навколо ураженої ділянки. Периферичні хондросаркоми, у свою чергу, виявляються як контрастне утворення горбкуватої форми, розташоване на зовнішній поверхні кістки.
- Комп’ютерна томографія (КТ) відіграє ключову роль у точнішій діагностиці. КТ дозволяє оцінити кісткову деструкцію, дрібні кальцифікати та поширення пухлини як всередині, так і поза кісткою. Близько 95% випадків хондросаркоми демонструють матриксну кальцифікацію на КТ, тоді як на звичайних рентгенівських знімках цей показник становить лише 70%. На КТ також добре видно кортикальний прорив, який є характерною ознакою злоякісності, що спостерігається майже у 90% випадків хондросарком довгих кісток. Це значно відрізняє їх від доброякісних хондром, де такий прорив є рідкістю.
- Магнітно-резонансна томографія (МРТ) є незамінним інструментом для оцінки м’якотканинного компонента пухлини. МРТ дозволяє точно визначити стадію ураження та розмір м’якотканинної маси. На Т1-зважених зображеннях пухлина має низьку або проміжну інтенсивність сигналу, а на Т2-зважених – дуже високу, що пояснюється великим вмістом води в хрящовій тканині. МРТ допомагає хірургам спланувати оптимальне втручання.
«МРТ є незамінним методом для оцінки поширеності процесу та планування хірургічного втручання, особливо при хондросаркомах складної локалізації», — підкреслює провідний онколог клініки Спіженка.
Сучасні методи ядерної медицини

Сцинтиграфія кісток з використанням радіофармпрепаратів демонструє підвищене накопичення у понад 80% випадків хондросаркоми. Цей метод допомагає відрізнити низькоступеневу хондросаркому від доброякісної хондроми, оскільки остання демонструє підвищене накопичення лише у 20% випадків і, як правило, менш інтенсивне.
ПЕТ-КТ з 18F-фтордезоксиглюкозою — це ще один сучасний метод, що дозволяє виявити високу метаболічну активність пухлини, яка відповідає її високому ступеню злоякісності. ПЕТ-КТ особливо корисна для виявлення метастазів у віддалених органах та оцінки відповіді на лікування.
Біопсія: «золотий стандарт» діагностики
Для остаточного підтвердження діагнозу та визначення ступеня злоякісності пухлини проводять трепанобіопсію кістки. Забір матеріалу з кількох ділянок новоутворення забезпечує максимальну точність. Гістологічне дослідження зразка є вирішальним для вибору подальшої тактики лікування. Важливо, щоб біопсія проводилася досвідченими фахівцями, оскільки неправильно виконана процедура може ускладнити майбутню операцію.
Диференційна діагностика
Відрізнити хондросаркому від доброякісних утворень допомагають специфічні ознаки. Однією з ключових є ендостальне виїдання, яке при хондросаркомі вражає більше двох третин товщини кортикального шару, тоді як при хондромах — менше. Інші характерні ознаки включають потовщення кортикального шару та періостальну реакцію. Високоступеневі пухлини можуть мати «перфоративний» вигляд.
| Метод діагностики | Особливості та переваги |
| Рентгенографія | Первинний метод, виявляє крапчасті кальцифікати та здуття кістки |
| Комп’ютерна томографія (КТ) | Точно визначає розмір, ступінь кальцифікації та прорив кортикального шару |
| Магнітно-резонансна томографія (МРТ) | Детальна візуалізація м’якотканинного компонента, оцінка поширеності пухлини |
| Сцинтиграфія кісток | Допомагає відрізнити хондросаркому від доброякісних утворень за ступенем накопичення радіофармпрепарату |
| ПЕТ-КТ | Виявлення метастазів та оцінка відповіді на лікування |
| Трепанобіопсія | «Золотий стандарт» для остаточного підтвердження діагнозу та визначення ступеня злоякісності |
Чи доводилося вам чи вашим знайомим стикатися з необхідністю проходження комплексних обстежень для підтвердження діагнозу? Які, на вашу думку, головні виклики у цьому процесі?
Діагностика хондросаркоми — це складний, багатоетапний процес, який вимагає командної роботи лікарів різних спеціальностей. Комбінація найсучасніших методів візуалізації та точна біопсія дають змогу не лише встановити діагноз, але й визначити оптимальний план лікування, що є вирішальним для збереження здоров’я та якості життя пацієнта.
Пам’ятайте, що своєчасне звернення до фахівців та ретельне дотримання їхніх рекомендацій — це ваш ключ до успіху. Якщо ви або ваші близькі стикнулися з підозрою на таке захворювання, не зволікайте, а звертайтеся до кваліфікованих онкологів.
